Orli mají v srdci citlivé místo, o kterém málokdo z lidí ví. Dokonce i ten obrovský dravec, který pokousal kanadského veterináře Clifforda Redforda, měl to srdce, aby mu poděkoval – svým vlastním orlím způsobem – poté, co mu veterinář zachránil život.
Samice orla byla postřelena a zřítila se k zemi. V osudnou zimu ji přivezli na kliniku v Ontariu.
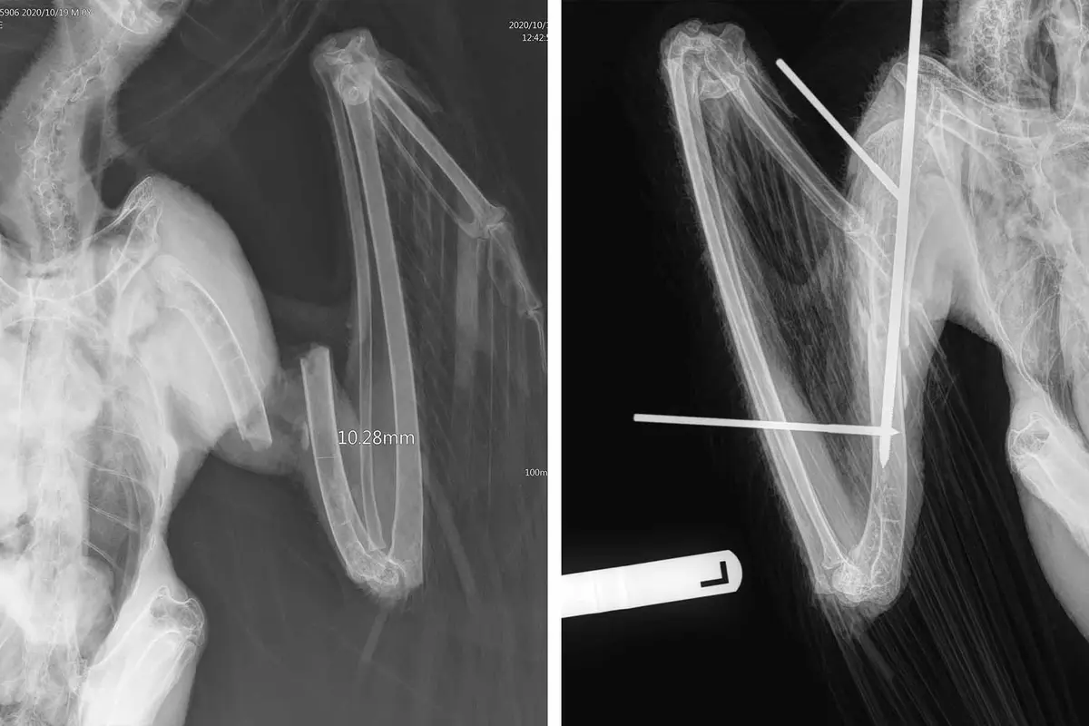
Orlice, které dali jméno Wolf, se zranila při lovu poblíž zamrzlé řeky Niagara. Broky jí čistě prošly křídlem, aniž by zanechaly viditelnou ránu, ale při pádu utrpěla vážnou zlomeninu. Lovci, kteří mířili na kachny a orlici omylem zasáhli, ji litovali a odvezli do přírodní rezervace Shades of Hope, kde se nachází Redfordova klinika.
S úplně přetrženou pažní kostí, která jí prorazila křídlo, nemohla orlice létat. Redford a jeho asistenti věděli, že si musí pospíšit, má-li se jí vrátit schopnost létat.
„Největším problémem bylo, že byla tak silná a svalnatá, že se jí svaly na křídle už stahovaly,“ řekl Redford deníku Epoch Times. „Táhli jsme za kost – ty dvě kosti se překrývaly. Jedná se prostě o takzvanou svalovou kontrakci, ke které může dojít.“

Aby zachránili křídlo, museli chirurgicky vložit titanovou tyč podélně do dutého středu kosti a napříč k ní umístit několik menších šroubů.
Avšak tento zákrok byl tou snadnější částí.
„Největší potíž pro nás vlastně nebylo zafixovat kost, stabilizovat ji nebo udržet ji v narkóze,“ řekl Redford. „Bylo to mít dost síly na to, abychom napnuli svaly, které se stáhly.“
Redford to popisuje jako „jógu“ na jejím křídle během operace.
Naštěstí vše dopadlo dobře. Operovat majestátního ptáka s rozpětím křídel téměř dva metry bylo „pokorným zážitkem“, uvedl Redford. Poté strávila orlice téměř čtyři týdny v Redfordově klinice, kde od prvního dne po operaci potřebovala pravidelnou fyzioterapii.

Silní ptáci, jako jsou orli bělohlaví, často musí létat s ulovenými zvířaty nebo rybami, a proto bylo nutné obvazy sundat už po 48 hodinách, jinak by její životně důležité svaly mohly zakrnět. Podle Redforda čelili pracovníci nebezpečí pokaždé, když se dostali do kontaktu s tímto „strašlivým“ ptákem. Ten totiž práskal ostrým zobákem a máchal pařáty.
„Nosili jsme takovou jednoduchou výzbroj,“ řekl, „tlusté kožené pláště a tyhle silné kožené rukavice.“ I když se pták na ně vrhl, zůstali v bezpečí, když mu přes hlavu přehodili deku. Většinou se ptákovi vyhýbali, jak jen to šlo, a nenápadně jí nechávali ryby v ohradě, protože věděli, že si v srdci musí uchovat strach z lidí.
Bylo však těžké nevytvořit si k ní nějaké pouto.
„Rozhodli se ji pojmenovat Wolf, protože se stávala tak agresivní, což je přesně to, o co nám šlo,“ řekl Redford.

Tvrzení, že Redford pomohl orlu bělohlavému „znovu létat“, by mohlo být poněkud přehnané, pokud by se bralo příliš doslova. Byla to nadace Owl Foundation v Niagara Falls, kam Redford orla předal, která mu poskytla dostatek uzavřeného prostoru, aby se mohl znovu naučit létat.
„Podařilo se jim, aby trochu přibrala a posílila si křídla,“ zmínil Redford. „Jakmile viděli, že dokáže létat tam a zpět v oblasti pro mláďata, zavolali mi a řekli: ‚Hele, chystáme se ji vypustit. Chceš přijít a udělat to?‘ A já jsem řekl: ‚Ano!‘“
Právě jeho láska ke zvířatům ho podle jeho slov přiměla k tomu, aby Wolf před jejím vypuštěním ukázal zamrzlou řeku Niagara.
Redford však dostal víc, než čekal.

Zčásti zakrytá dekou měla orlice roztažené křídlo, zatímco ho veterinář opatrně ohýbal. Při lehkém žertování s kolegou však nepozorně zasunul ruku pod deku a dotkl se zobáku. Ozvalo se cvaknutí a přišla bolest – Wolf ho kousla.
„Mohla mi ukousnout prst, ale místo toho mě jemně ‚kousla z lásky,’“ řekl. „Bylo to, jako by mi dala lekci, aniž by mi ublížila.“
„Opravdu věřím, že i když na nás byla někdy rozzlobená, chápala, že ji pomáháme,“ dodal.
Redford říká, že vypuštění orla do sněhu pro něj nebylo „hořkosladké“, protože právě tam patří. Po půlhodině, kdy se vyhříval na slunci, pták vzlétl a už ho nikdy neviděli.
Otočil se před odletem naposledy směrem ke svým zachráncům – byl to jeho způsob, jak říct „děkuji“? „Myslím, že ano,“ odpověděl. Bylo to přinejmenším gesto uznání.
„Bylo to nádherné,“ uzavřel Redford. „Právě proto se staráme o zvířata.“
–ete–
